91热爆 李振兴教授等在国际顶级期刊《Food Chemistry》(中科院1区,IF8.8)在线发表的题为“Insight into IgG/IgE binding ability, in vitro digestibility and structural changes of shrimp (Litopenaeus vannamei) soluble extracts with thermal processing”的研究性论文入选高被引论文。李振兴教授为通讯作者,赵金龙博士为论文第一作者。
微量的甲壳类食品成分即可诱发机体产生严重的过敏反应,这不仅阻碍了甲壳类食品过敏患者对味道鲜美、营养丰富的甲壳类食品的摄入,而且对潜在过敏人群造成严重的安全隐患,已经成为一个严重的全球性食品安全和公共卫生问题。甲壳类水产品过敏性患者需要严格规避其所有活性过敏原成分,了解热加工对甲壳类水产品过敏原的影响的具有重要意义。在日常生活中,甲壳类水产品 通常在经过一定程度的热处理(如煮、烤、炸和蒸等)然后食用。通常认为,热处理可能会导致过敏原的IgG/IgE结合反应性显著降低。因为过敏原暴露在各种类型热处理的环境可能会发生蛋白质结构的显著破坏。尽管如此,热加工处理后的虾仍然可以诱发机体产生过敏反应,且很少有研究人员关注虾在不同烹饪处理下的潜在致敏性改变及其潜在原因。
在本研究中,六种热常见热处理,包括煮处理、烤处理,高压蒸汽处理,蒸处理,油炸处理和微波处理,对虾可溶性蛋白质回收率、潜在致敏性、体外消化性和结构特性的影响被探究。所得结果证实,虾可溶性蛋白质回收率和IgG/IgE反应性显著降低,体外消化性显著改善,且取决于热加工的程度和类型,这些改变也与结构的变化和修饰密切相关。由于过敏原结构的显著修改和改变,高压蒸汽处理的虾中观察到IgG/IgE结合能力和消化稳定性出现最大程度的降低。

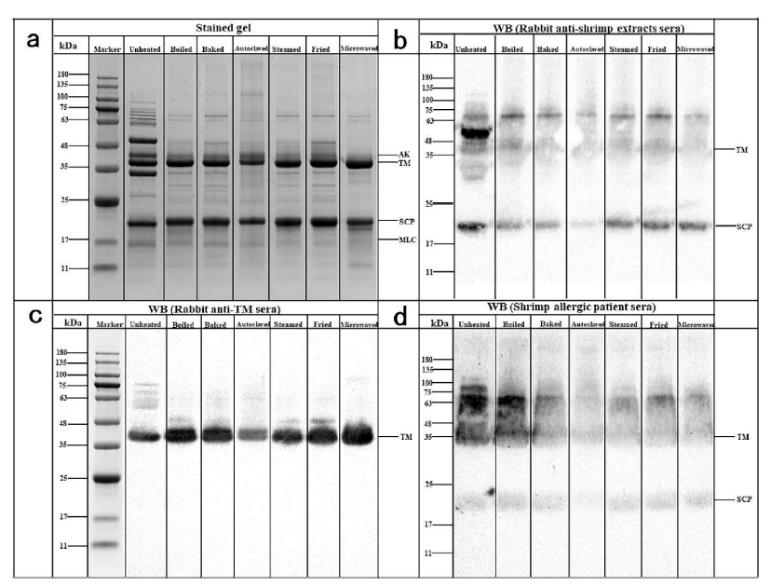
Fig. 1. SDS-PAGE reducing gel of raw and different heat-treated shrimp soluble extracts (a), and IgG immunoblots with pooled rabbit antisera against raw shrimp extracts (b) and TM (c) and IgE immunoblots with pooled shrimp allergic patients’ sera (d).
值得注意的是,在各种热处理的虾可溶性蛋白中,虾原肌球蛋白(TM)和肌钙质结合蛋白(SCP)仍然具有较高的IgG/IgE活性。根据TM抗血清western blotting和间接ELISA结果,在热处理的虾TM中甚至出现更高的IgG反应性。虾TM和SCP在各种烹饪方法后保持其IgE/IgG结合能力,因此很可能是诱发消费者对未处理和热处理虾的产生过敏反应的主要蛋白成分。

Fig. 2. Indirect ELISA for pooled rabbit antisera against raw shrimp soluble extracts (b) and TM (c) IgG binding, and shrimp patient serum IgE binding to raw and different heat-treated shrimp extracts. The data is presented as the mean values for triplicates and the standard deviation is indicated by error bars. Different lowercase letters in column mean significant differences (P < 0.05) among raw and different heat-treated shrimp extracts.
本研究对南美白对虾(Litopenaeus vannamei)进行不同烹饪加工处理后,探究了不同热处理对虾过敏原与抗体识别特性、体外消化性和结构的影响,明确了诱发消费者对未处理和热处理虾的产生过敏反应的主要过敏原组分(TM和SCP),并阐明了不同加工处理影响过敏原与抗体亲和能力和结构变化规律,对于低致敏虾类食品的制备及虾过敏患者的消费安全具有重要意义。
根据Web of Science数据库,截止2024年6月28日,本论文被引用32次。该研究工作得到了国家自然科学基金(32072338)的支持。
通讯员:李振兴、王彦超
原文链接://doi.org/10.1016/j.foodchem.2022.132177
Jinlong Zhao, Yonghong Li, Lili Xu, Yu Ji, Jianhua Zeng, Vaileth Timira, Ziye Zhang, Guanzhi Chen, Hong Lin, Zhenxing Li*. Insight into IgG/IgE binding ability, in vitro digestibility and structural changes of shrimp (Litopenaeus vannamei) soluble extracts with thermal processing. Food Chemistry, 2022, 381: 132177.
